U břehů Austrálie zemřel surfař po útoku žraloka
Australští záchranáři uzavřeli pláže v okolí
Australští záchranáři uzavřeli pláže v okolí



Statistiky jsou oproti loňsku příznivější
Hrvoj Čustič narazil během zápasu do betonové bariéry
Byl autorem památníku druhému odboji na Klárově



Od schválení eutanazie uplynulo šest let
Snímek po mrtvém herci dokončí Depp, Law a Farrell
Příběh o zázračném znovuzrození těžce raněného muže
Zemřel nejvýznamnější představitel vlámské literatury



Tělo zabitého vojáka bude dnes převezeno do Prahy



Soud jí zamítl žádost o smrt, poté záhadně zemřela



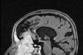
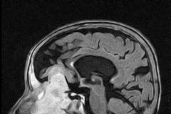
Po zranění v Afghánistánu zůstává v umělém spánku



Oscarovému režisérovi bylo čtyřiapadesát let
Po jeho spolknutí zemřel čtyřletý chlapec



Vážně zraněný muž zůstává v umělém spánku



Sněžit má po celý den, neoteplí se ani na Velikonoce



Další dva zranění Češi jsou v nemocnici
Promluvil po takřka 65 letech
Řidič autobusu ve vysoké rychlosti narazil do domu



Prosadil stavbu první mešity v Brně



Vláda má na stole kontroverzní návrh